经常有患者咨询
自己在打球时感觉脚后跟
“被人从后边踢到”
想问这是怎么了?
实际上,“被踢到”可能是
位于足后跟的跟腱断裂的信号
那么,跟腱断裂时是什么感觉?
怎样判断是不是跟腱断裂?
断裂的跟腱能否再“重新连接”?
带您一起来了解
01
什么是跟腱?
跟腱是人体中最粗最长的肌腱,长约15cm,连接着腓肠肌和比目鱼肌,向下止于跟骨,当人们足跟离地以脚尖站立时,在足跟与小腿之间有一条很粗壮结实、绷得很紧的肌腱,这就是跟腱。

跟腱不仅在站立时固定踝关节,维持身体稳定性,同时对负重、奔跑及跳跃起重要作用。我们平常的行、走、跑、跳都会伴随着小腿肌肉收缩,拉动跟腱,带动跟骨来完成肌肉力量的传递。
02
跟腱断裂的表现
很多人用“脚后跟像被棒子打了一下”来形容跟腱断裂的感觉,我们称之“棒击感”。有些人也会误以为是崴脚了,但与崴脚不同的是疼痛感持续且无法继续进行活动。此时如果用手触摸跟腱,会发现它不再是“硬邦邦”的,而是软软的像塌陷了一样。

警惕这些危险信号
足跟处刀割样疼痛,常伴“啪”的断裂声。
无法踮脚、单腿突发剧痛,站立困难,行走呈“跛行”。
跟腱部位凹陷、肿胀瘀斑,按压有明显空隙感。
检查方式

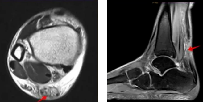
最常用体征检查方法包括Thompson试验,即通过挤压小腿三头肌,若踝关节不能跖屈,即提示跟腱断裂可能。

就医后,最常用明确诊断的影像学检查主要包括超声检查和MRI检查,对怀疑有跟腱止点撕脱骨折者,还需要完善X线、CT检查。
03
跟腱断裂的常见病因
跟腱撕裂并非运动员的“专利”,它可以发生在任何年龄和活动水平的人身上。其病因主要可分为以下几类:

急性外伤(运动损伤)
这是最广为人知的原因,通常发生在需要突然发力、加速、变向的运动中,如篮球、足球、网球、短跑等。当小腿肌肉突然剧烈收缩,而脚部却处于相反方向受力时(例如起跳落地瞬间、蹬地发力时),施加在跟腱上的负荷会瞬间超过其承受极限,导致撕裂或完全断裂。
退行性病变(劳损与老化)
这是非外伤性撕裂的主要原因。跟腱组织会随着年岁增长而自然退化,血供减少,弹性减弱,变得脆弱。长期、反复的微小损伤累积(如长跑爱好者),使得跟腱组织发生慢性炎症、纤维化甚至钙化,强度大大降低。此时,一个看似平常的动作,如下楼梯、快步走,都可能成为“压垮骆驼的最后一根稻草”。
年龄增长、肥胖、糖尿病、关节炎、平时不运动却突然进行高强度活动等都是高危因素。
药物相关性跟腱损伤
这是容易被忽视但却非常重要的一个病因,主要与两类药物有关:
①喹诺酮类抗生素:这是一类广泛使用的抗生素。研究表明,这类药物会干扰肌腱细胞的代谢,影响胶原蛋白的合成与交联,从而削弱肌腱的强度和韧性。用药期间或停药后数月内,即使进行轻微活动,也有发生跟腱炎甚至撕裂的风险。老年人、肾功能不全者或同时使用激素的患者风险更高。
②局部注射糖皮质激素:对于顽固的跟腱炎,有时医生会考虑在肌腱周围注射激素以快速消炎镇痛。然而,激素会抑制胶原合成,并可能导致肌腱内部结构变性、坏死。虽然注射后疼痛感暂时消失,但脆弱的肌腱在不知情的情况下继续承重,极易发生断裂。因此,严禁将激素直接注射入跟腱实质内,且需严格掌握适应症。
04
跟腱撕裂的治疗方案
治疗方案的选择取决于撕裂的严重程度、患者的年龄、活动水平以及个人需求。
保守治疗
适用于部分撕裂、撕裂端对位良好,或对活动要求不高的老年患者。
主要采用石膏固定或功能性支具,将踝关节固定在跖屈位(脚尖向下),让撕裂的跟腱断端尽可能靠近,为自然愈合创造条件。固定时间通常为6-8周。期间可能辅以冰敷、抬高患肢、口服消炎药等。拆除固定后,需要接受系统的康复治疗,包括物理治疗和循序渐进的功能锻炼,以恢复关节活动度、肌肉力量和本体感觉。
虽然避免了手术风险(如感染、神经损伤),但是再撕裂率相对较高,康复时间可能更长,肌腱愈合后的强度可能不及手术修复。
手术治疗
适用于年轻、活跃的患者,完全撕裂,或希望尽快恢复高强度运动的人。
跟腱断裂手术治疗主要包括传统切开修复手术和微创修复手术,其中微创手术包括有限切开微创跟腱缝合手术、跟腱吻合器辅助微创缝合手术以及关节镜下跟腱缝合手术。
05
跟腱断裂术后如何进行康复训练?
无论选择何种治疗,康复都至关重要。康复是一个漫长而关键的过程,大致分为几个阶段:

保护期:固定患肢,控制肿胀疼痛。
活动度恢复期:逐渐恢复踝关节的正常活动范围。
力量强化期:通过抗阻训练增强小腿和脚踝力量。
功能恢复期:进行平衡、协调性训练,最终过渡到跑步、跳跃等专项运动。整个过程通常需要6-9个月,甚至更长时间才能重返高水平运动。
温馨提示:早期负重与活动的康复方案需要手术医生、康复科医生、患者参与共同来制定个性化的方案,同时需要患者具有很好依从性,以最终获得最佳康复效果。
06
日常运动时应如何减少跟腱断裂的风险?

● 运动前充分热身。通过针对性锻炼拉伸、强化运动部位肌肉。例如,若要跑步,可先慢跑,随后缓慢增加步速。
● 量力而行,循序渐进。开始新的运动项目时应循序渐进,逐渐进行强度更大、持续时间更长的锻炼。尤其对于不经常参加体育活动的人,跟腱长期处于僵硬状态,突然运动后肌腱组织会变得相对脆弱,容易发生损伤。
● 避免疲劳运动。疲劳过度会使人体的自我保护能力下降,增加跟腱断裂的概率。
● 避免跟腱封闭。跟腱受伤后可能会疼痛,这个时候有的患者会选择打封闭。打完封闭的确不疼了,但是封闭里的激素如果进入跟腱,可能会使跟腱出现坏死、钙化等问题,影响跟腱的整体质量。
● 避免带伤运动。跟腱不适时应避免运动,带伤运动更容易引发伤病,增加腱断裂的风险。
● 选择合适的鞋。根据不同的运动项目选择合适的鞋。
新闻热点